Ο θηλασμός δακτύλου και η χρήση πιπίλας είναι φυσιολογικές συνήθειες στα πρώτα χρόνια ζωής. Προσφέρουν αίσθημα ασφάλειας και ηρεμίας στο παιδί. Ωστόσο, όταν παρατείνονται πέρα από την προσχολική ηλικία, μπορούν να επηρεάσουν σημαντικά την ανάπτυξη των γνάθων και τη σωστή σύγκλειση των δοντιών.
Ποιες είναι οι συχνότερες επιπτώσεις;

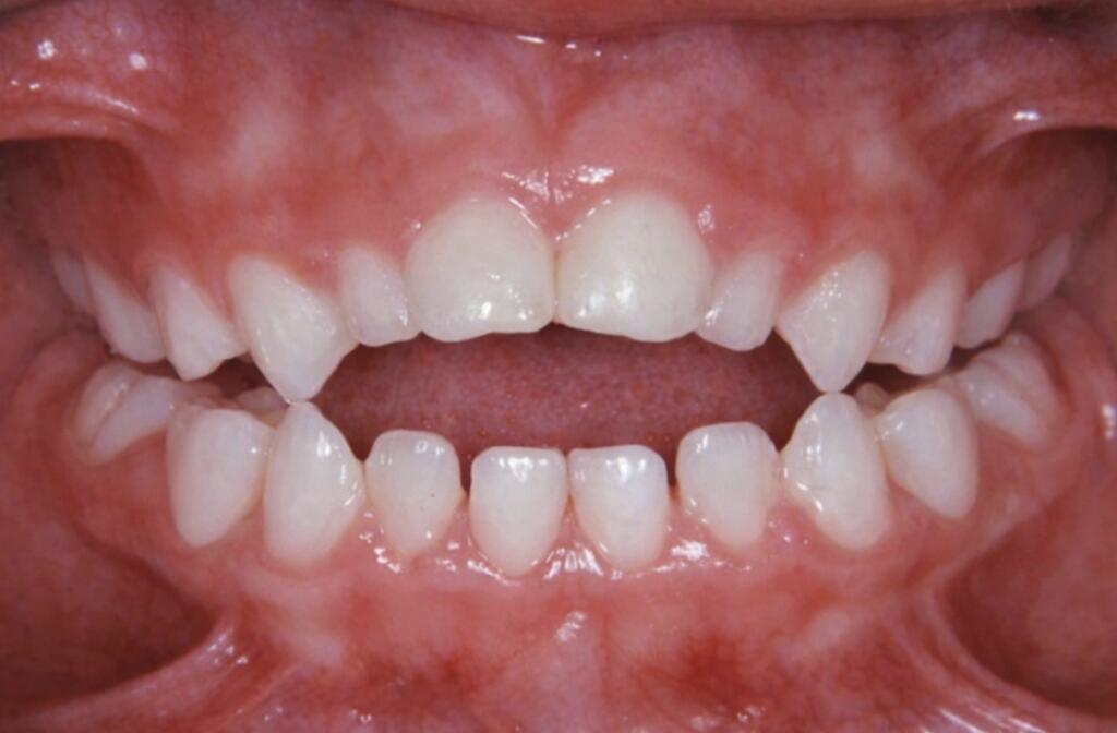
Η παρατεταμένη στοματική συνήθεια μπορεί να προκαλέσει:
✔ Πρόσθια ανοιχτή δήξη (τα μπροστινά δόντια δεν ακουμπούν μεταξύ τους)
✔ Σταυροειδή σύγκλειση
✔ Στένωση άνω γνάθου
✔ Προβολή άνω τομέων (να πετάνε μπροστά)
✔ Διαταραχές κατάποσης και ομιλίας
Η σοβαρότητα εξαρτάται από:
- Τη διάρκεια της συνήθειας
- Τη συχνότητα
- Την ένταση πίεσης
Πότε πρέπει να σταματήσει;
Ιδανικά, η διακοπή πρέπει να γίνεται:
- Έως τα 3 έτη χωρίς ανησυχία
- Πριν τα 4 έτη για αποφυγή μόνιμων αλλοιώσεων
- Οπωσδήποτε πριν την έναρξη της μικτής οδοντοφυΐας (6 ετών)
Σε πολλές περιπτώσεις, αν η συνήθεια διακοπεί έγκαιρα, η σύγκλειση αυτοδιορθώνεται.
Τι συμβαίνει αν δεν διακοπεί;
Εάν συνεχιστεί μετά τα 5–6 έτη, οι αλλοιώσεις μπορεί να παγιωθούν και να απαιτηθεί:
- Πρώιμη ορθοδοντική παρέμβαση
- Συσκευές διεύρυνσης άνω γνάθου
- Μηχανισμοί διακοπής συνήθειας (habit breakers)
- Μελλοντικά σταθερή ορθοδοντική θεραπεία
Η έγκαιρη ορθοδοντική αξιολόγηση (από 6–7 ετών) προλαμβάνει σύνθετες θεραπείες στην εφηβεία.
Πότε να επισκεφθείτε ορθοδοντικό;
Εάν παρατηρείτε:
- Κενό μεταξύ άνω και κάτω πρόσθιων δοντιών
- Το παιδί να συνεχίζει πιπίλα ή δάκτυλο μετά τα 4 έτη
- Δυσκολία στην ομιλία
Η έγκαιρη αξιολόγηση διασφαλίζει σωστή ανάπτυξη και υγιές χαμόγελο.
Τι είναι καλύτερο: δάκτυλο ή πιπίλα;
Η σύντομη απάντηση είναι: η πιπίλα θεωρείται προτιμότερη από τον θηλασμό δακτύλου — αλλά μόνο όταν διακόπτεται έγκαιρα.
Γιατί η πιπίλα είναι “λιγότερο επιβαρυντική”;
- Μπορεί να ελεγχθεί από τους γονείς
- Μπορεί να αφαιρεθεί σταδιακά
- Η χρήση της μπορεί να περιοριστεί χρονικά (π.χ. μόνο στον ύπνο)
- Διακόπτεται πιο εύκολα πριν δημιουργηθούν μόνιμες ορθοδοντικές αλλοιώσεις
⚠ Γιατί ο θηλασμός δακτύλου είναι πιο προβληματικός;
- Είναι πάντα διαθέσιμος (δεν μπορεί να “αποσυρθεί”)
- Συχνά ασκείται με μεγαλύτερη ένταση πίεσης
- Συνεχίζεται και κατά τη διάρκεια του ύπνου
- Διακόπτεται δυσκολότερα
- Έχει μεγαλύτερη πιθανότητα να προκαλέσει:
- Πρόσθια ανοιχτή δήξη
- Στένωση άνω γνάθου
- Προβολή άνω τομέων
Συμπέρασμα
👉 Αν πρέπει να επιλεγεί ανάμεσα στα δύο, η πιπίλα είναι προτιμότερη, επειδή ελέγχεται και διακόπτεται πιο εύκολα.
👉 Το σημαντικότερο όμως δεν είναι ποιο θα επιλεγεί, αλλά πότε θα σταματήσει.
Η έγκαιρη διακοπή προστατεύει τη σωστή ανάπτυξη των γνάθων και μειώνει την πιθανότητα ορθοδοντικής θεραπείας στο μέλλον.

Τρόποι Βοήθειας για Διακοπή Πιπίλας ή Θηλασμού Δακτύλου
Η διακοπή μιας στοματικής συνήθειας χρειάζεται υπομονή, σταθερότητα και θετική προσέγγιση. Η πίεση και η τιμωρία συνήθως φέρνουν το αντίθετο αποτέλεσμα.
Παρακάτω θα βρείτε πρακτικές και αποτελεσματικές στρατηγικές:
👶 1. Σταδιακή Διακοπή (Gradual Weaning)
✔ Περιορίστε τη χρήση μόνο στον ύπνο
✔ Μειώστε τη διάρκεια καθημερινά
✔ Ορίστε «ζώνες χωρίς πιπίλα» (π.χ. σχολείο, βόλτα)
Η σταδιακή μείωση είναι πιο αποτελεσματική από την απότομη διακοπή
⭐ 2. Θετική Ενίσχυση
✔ Σύστημα ανταμοιβής (αυτοκόλλητα – πίνακας επιβράβευσης)
✔ Μικρό δώρο μετά από συγκεκριμένες “μέρες επιτυχίας”
✔ Λεκτική επιβράβευση (“Είμαι περήφανος/η για σένα”)
Η ενίσχυση της επιτυχίας βοηθά το παιδί να νιώσει έλεγχο.
📖 3. Προετοιμασία & Συζήτηση
✔ Εξηγήστε με απλά λόγια γιατί πρέπει να σταματήσει
✔ Χρησιμοποιήστε παραμύθια ή ιστορίες αποχωρισμού
✔ Δώστε χρόνο στο παιδί να προετοιμαστεί
Η συνειδητοποίηση μειώνει το άγχος.
🛑 4. Υπενθύμιση με Ήπιο Τρόπο (για δάκτυλο)
✔ Διακριτική υπενθύμιση όταν το παιδί βάζει το δάχτυλο
✔ Κάλυψη αντίχειρα τη νύχτα (γάντι, ειδικό επίθεμα)
✔ Αναγνώριση των στιγμών που εμφανίζεται η συνήθεια (άγχος, πλήξη, νύστα)
Σημαντικό: Όχι επίπληξη ή ντροπή.
⚠ Πότε χρειάζεται επαγγελματική καθοδήγηση;
- Αν η συνήθεια συνεχίζεται μετά τα 4–5 έτη
- Αν υπάρχει ήδη πρόσθια ανοιχτή δήξη.
- Αν το παιδί δυσκολεύεται έντονα να διακόψει
Σημαντικό Μήνυμα για Γονείς
Η διακοπή είναι πιο εύκολη όταν το παιδί είναι έτοιμο συναισθηματικά.
Η υποστήριξη και η ηρεμία είναι πιο αποτελεσματικές από την πίεση.

